安定狭心症に対する経皮的冠動脈形成術(PCI) 当院では、虚血性心疾患に対する治療を行なっており、その一つである安定型狭心症に対して経皮的冠動脈形成術 (Percutaneous coronary intervention:PCI)を積極的に施行しております。 連絡先. 安定型狭心症に対する治療に関してご依頼・ご相談がありましたら、まずは初診外来予約、予約センターから予約をお取りください。 急ぎの対応が必要な場合は、循環器内科 日直 (内線 30215)にご連絡ください。 患者様のご都合にあわせて可能な限り迅速に対応させていただきます。 TEL:(予約センター)03-5800-8630もしくは(代表)03-3815-5411(内 30215). 経皮的冠動脈形成術. 経皮的冠動脈形成術 (けいひてきかんどうみゃくけいせいじゅつ、 英: percutaneous transluminal coronary angioplasty; PTCA 、percutaneous coronary intervention; PCI )とは、 狭心症 や 急性心筋梗塞 などの 虚血性心疾患 に対して、 血管 の内側から.
経皮的冠動脈形成術 Percutaneous coronary intervention JapaneseClass.jp
【循環器総論13】冠動脈CT検査 心臓血管外科がゆるく始めたブログ
PCIとは? PCIってなに? 経皮的冠動脈形成術とは? カテっ子臨床工学技士
経皮的冠動脈形成術 心臓病用語集 心臓病の知識 公益財団法人 日本心臓財団
株式会社ハイメック
経カテーテル大動脈弁置換術(TAVI) 獨協医科大学 心臓・血管外科 Dokkyo Medical University Cardiac and vascular surgery
経皮的冠動脈形成術 Percutaneous coronary intervention JapaneseClass.jp
PCI(経皮的冠動脈形成術)とは?適応する疾患と手術の概要 心臓血管研究所付属病院|循環器内科・心臓血管外科|港区西麻布
経皮的冠動脈形成術 8月05日に入院
経皮的冠動脈インターベンション(PCI) 看護roo![カンゴルー]
狭窄した内シャントや人工血管を拡張させる「経皮的血管形成術(PTA)」とは? メディカルノート
経皮的冠動脈インターベンション|循環器内科|診療科|診療科・部門紹介|すずかけセントラル病院(浜松市の病院・健診)|医療法人 弘遠会
11回目の経皮的冠動脈形成術
冠動脈大動脈バイパス移植術 Coronary artery bypass surgery JapaneseClass.jp
経皮的冠動脈形成術 Percutaneous coronary intervention JapaneseClass.jp
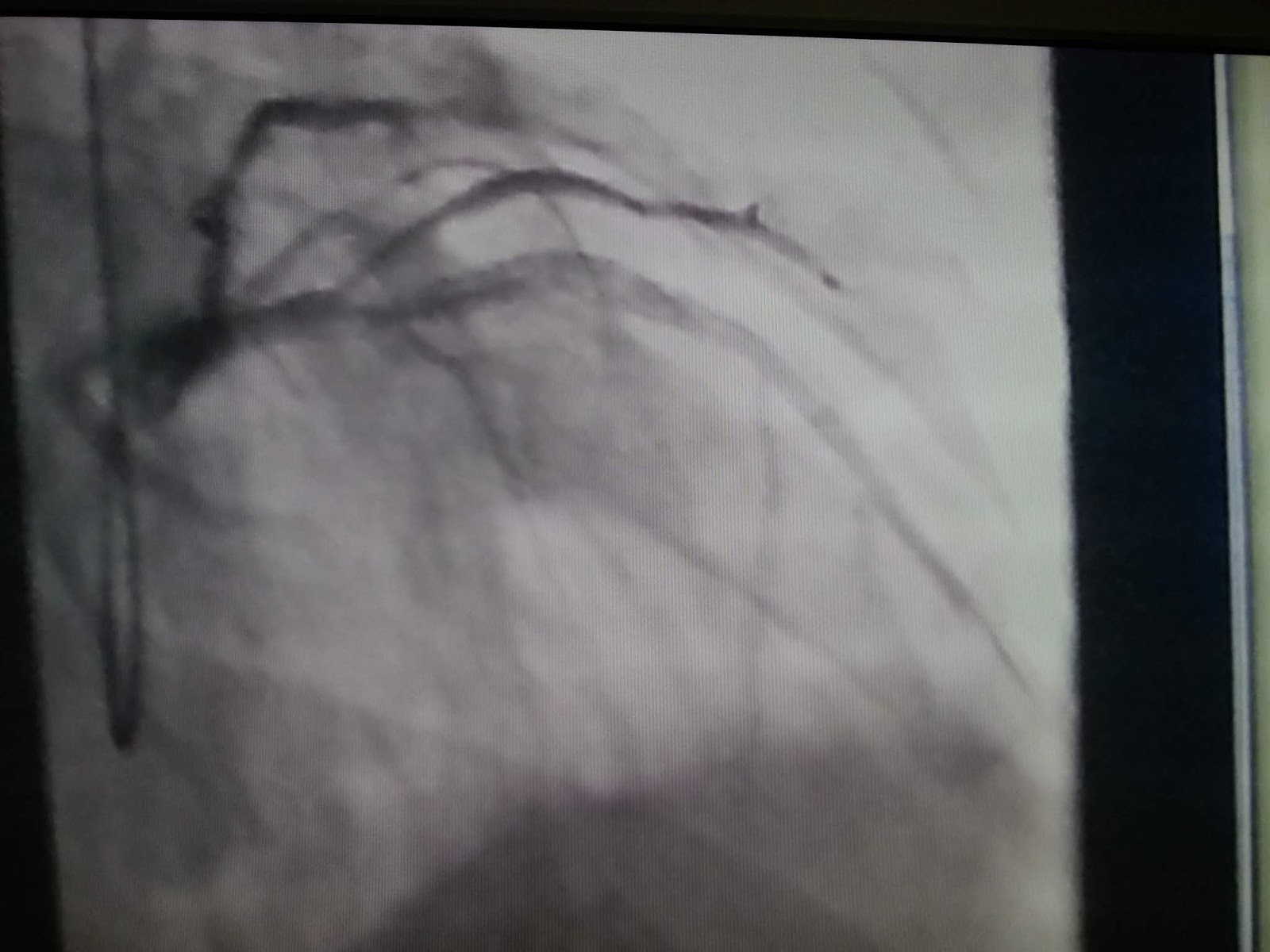
冠動脈疾患例
心臓カテーテル検査(冠動脈造影)・治療(経皮的冠動脈形成術) 千葉市立青葉病院
虚血性心疾患:経皮的冠動脈形成術(PCI) 医療法人恵山会 丸山病院
【看護師・コメディカルも必見!】PCI(経皮的冠動脈形成術)の手順とポイント
心臓カテーテル検査(冠動脈造影)・治療(経皮的冠動脈形成術) 千葉市立青葉病院
経皮的冠動脈インターベンション(PCI)は、脚の付け根や腕、手首などの血管から、カテーテルという医療用の細く柔らかいチューブを差し込んで、冠動脈の狭くなった部分を治療する方法です。 先端にバルーン(風船)を取り付けたカテーテルでバルーンを内側から膨らませて血管を押し広げる方法( バルーン療法 )が基本です。 体に大きな傷をつけることがなく、局所麻酔によって患者さんの意識のある中で進めることもできるため、胸を大きく開くバイパス手術に比べ、患者さんの体にかかる負担は少なくてすみます。 このため、症状が比較的軽い場合や、高齢者も含め、多くの患者さんに対して行われるようになりました。. 経皮的冠動脈形成術(PCI)は局所麻酔による覚醒下にて行います。 カテーテルを血管内へ挿入するために事前に決定した穿刺部位へ穿刺します。 穿刺の際の痛みを和らげるために局所麻酔を使用しますがその他大きな痛みを伴う処置はありません。 穿刺後はシース、ガイドカテーテルを挿入し造影剤を注入して冠動脈の狭窄部位や形状を確認します。 ガイドワイヤー、治療用カテーテルを順次挿入し狭窄部位の拡張を行います。 処置中は血栓予防のため抗凝固薬(血液が固まりにくくなる薬剤)を投与した状態で行います。 治療の種類. バルーン療法. 先端にバルーンがついたカテーテルを心臓の血管の細くなっている部分に挿入し風船を膨らませ血管を押し広げます。 画像出典:インフォームドコンセントのための心臓・血管病アトラス.



